Teeth Cleaning
Teeth Cleaning
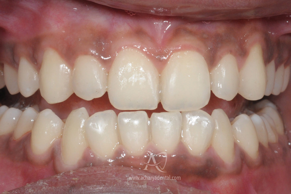
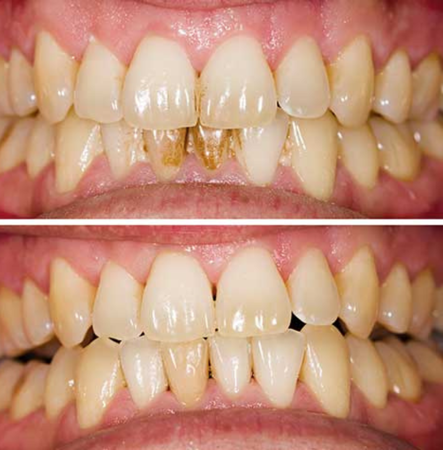
A cleaning appointment needs to be on everyone’s calendar, once every six months. During this visit, your teeth are assessed and food debris and stains are removed. It’s also a great opportunity to catch issues like cavities or loose teeth very early, before they become a bigger issue.
Steps to that sparkling smile
Step 1
The Srinivasam Dental team will assess your oral hygiene to determine if a cleaning is needed.
Step 2
Our dentists and hygienists will perform the cleaning after applying a numbing gel so you’re comfortable during the procedure.
Step 3
The Srinivasam Dental team will follow the cleaning with instructions of brushing, flossing and waterpik usage. That’s it – you’re good to go!
How Often Should You Get Your Teeth Cleaned?
Most dentists recommend professional teeth cleaning every six months. However, individuals with gum disease or higher risk of dental problems may require more frequent visits. Regular cleanings help detect early signs of oral health issues and maintain long-term dental wellness.
Benefits of Teeth Cleaning
Teeth cleaning improves oral hygiene, prevents gum disease, reduces the risk of cavities, and enhances the appearance of your smile. It also contributes to better overall health, as maintaining good oral hygiene is linked to improved general well-being.
Maintaining Results at Home
To maintain the benefits of professional cleaning, brush your teeth twice daily with fluoride toothpaste, floss regularly, and follow a balanced diet. Combining proper home care with regular dental visits ensures strong, healthy teeth and gums for years to come.
Teeth Cleaning – FAQs
- 1. Scaling – Ultrasonic instruments are used to remove the plaque or tartar without disturbing or damaging the soft tissues. Mechanism of the process is, ultrasonic vibrations loosen and break down the plaque or tartar. Water is sprayed on the teeth continuously to wash away the debris.
- 2. Polishing – Polishing helps remove stains and makes the surface smooth. We use special pastes and polishing brushes to polish the teeth on completion of debris removal.
Want to schedule an appointment?
Appointment
