Inlays & Onlays
Inlays & Onlays
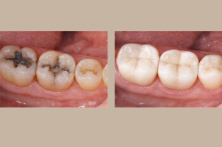
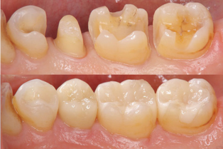
An Inlay/Onlay is a small restoration usually made of a very strong ceramic. When a large portion of a natural tooth is lost, the traditional method to replace the lost tooth structure is with a crown that covers the entire tooth in it’s entirety. However, with modern adhesive dentistry, we are able to manufacture much smaller restorations called inlays/onlays, and are thereby able to preserve much more of your tooth structure.
Another great advantage of these wonderful restorations – they are usually less expensive than the cost of a crown. Reach out to our team to find out what the cost of an inlay or onlay is and make an appointment to get your teeth back to shape in no time!
INLAY VS ONLAY – What’s the difference?
An onlay covers one or more “cusps” of your teeth – a cusp is the projection on teeth that help you chew your food. An inlay does not replace any cusps.
Steps to that perfect restoration
Step 1
Make an appointment to meet one of the experts at Srinivasam Dental for a consultation. An inlay or onlay will be planned for you at this stage.
Step 2
After the tooth is prepared to receive the restoration, a measurement is taken either digitally with a scanner or with a traditional impression (mould).
Step 3
The inlay or onlay will be delivered and adjusted to feel as natural as any other tooth in your mouth.
Gallery
When Are Inlays & Onlays Recommended?
Inlays and onlays are recommended when a tooth has too much damage for a simple filling but not enough damage to require a crown. They are also suitable when old fillings need replacement and the remaining tooth structure needs stronger reinforcement. This treatment helps restore both function and appearance effectively.
Benefits of Inlays & Onlays
Inlays and onlays are highly durable and long-lasting. They strengthen weakened teeth, improve chewing function, and provide a natural, aesthetic finish that blends seamlessly with surrounding teeth. Since they preserve more healthy tooth structure than crowns, they are considered a conservative and effective restorative option.
Aftercare and Maintenance
Proper oral hygiene is essential to maintain the longevity of inlays and onlays. Regular brushing, flossing, and routine dental check-ups help ensure that the restoration remains strong and functional for many years. With good care, inlays and onlays can protect your smile while maintaining its natural beauty.
Want to schedule an appointment?
Appointment
